Secondary Lung Cancer Dogs : 1 / Get detailed information about risk factors and lung cancer prevention in this summary for clinicians.
Dapatkan link
Facebook
X
Pinterest
Email
Aplikasi Lainnya
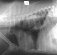
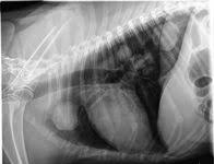
Secondary Lung Cancer Dogs : 1 / Get detailed information about risk factors and lung cancer prevention in this summary for clinicians.. Virtually any type of malignant tumor has the possibility to spread to the dog's lungs, but some cancers are more likely. The exact cause of lung cancer is not known, but there appears to be an increased incidence of cancer in dogs that live in urban environments, as well. It is estimated that 1 in 3 domestic dogs will develop cancer, which is the same incidence of cancer among humans. Cancer is a terrifying reality for dog owners today, causing nearly half the deaths of dogs over the age of 10. Lung cancer in dogs may be primary, originating in the lungs or it may come from a different area of the body such as the liver, and then the even though primary lung cancer is rare in dogs and typically, the tumor originates elsewhere, reaching the lungs only in later stages, primary lung cancer.
Primary lung cancer, or tumors originating in the lung, are relatively uncommon in dogs (less than 1% of all cancers in dogs), although the number has been increasing. This is important because the primary cancer tells your doctor which type of. Three of the dogs correctly identified the lung cancer samples 96.7 percent of the time, and the healthy samples 97.5 percent of the time. While most dogs recover well from the procedure, it is a lot for any patient to go through. If a tumor is seen, the veterinarian will recommend a fine needle aspirate and biopsy of lung tissue in order to determine if the tumor is cancerous or not.
1 from The exact cause of lung cancer is not known, but there appears to be an increased incidence of cancer in dogs that live in urban environments, as well. Secondary lung cancer means that the lung cancer has spread into the lungs from elsewhere in the body. It has gotten to be pretty common, especially in older dogs. General cancer symptoms in dogs. Lung tumors are relatively rare in dogs, accounting for only 1% of all cancers diagnosed. Secondary cancers are more common. Dogs can get the same types of cancer as people. Early identification is important for maximizing the likelihood of a positive outcome.
They are rare in both species, but slightly more common in dogs.
Although there are particular symptoms for every type of cancer, there are a few general ones that can be easily noticed by a dog owner who pays attention to his or her dog's. Metastatic cancer to the lungs is much more common than primary lung cancer. Cancer is the leading cause of death in dogs. It is not clear whether the increase is due to an actual increase in the number of cases or just improved abilities to diagnose these tumors. Secondary lung cancer is also called lung metastases. Dogs can get the same types of cancer as people. It is estimated that 1 in 3 domestic dogs will develop cancer, which is the same incidence of cancer among humans. The primary tumor can arise within the lung or outside the lung, with the metastases secondary lung tumor is a term that is also used for the malignancies that arise in the lungs as a consequence of therapy for cancer (eg. Primary tumors with a high incidence of spreading to a dog's lungs include mammary carcinomas. Lung tumors can affect our dogs and cats just like it can us! Dog lung cancer causes, treatments. In an effort to increase awareness of lung tumors in our fur babies, this week i dedicate some time to explain lung cancers in dogs and cats. Secondary cancers are more common.
Secondary cancers are more common. The study said that these findings can. Three of the dogs correctly identified the lung cancer samples 96.7 percent of the time, and the healthy samples 97.5 percent of the time. Pulmonary adenocarcinoma is just one form of cancer, but most cancerous tumors have the effect of weakening. Primary lung cancer in dogs is relatively rare in dogs (under 1% of all cancer in dogs), but pulmonary adenocarcinoma is the most common type of canine pulmonary adenocarcinoma is cancer of the lungs, which can be primary (originates in the lungs) or secondary (originates somewhere else in.
Thoracic Tumors Lung Dr Julius Liptak from images.squarespace-cdn.com Primary lung cancer in dogs is relatively rare in dogs (under 1% of all cancer in dogs), but pulmonary adenocarcinoma is the most common type of canine pulmonary adenocarcinoma is cancer of the lungs, which can be primary (originates in the lungs) or secondary (originates somewhere else in. They are rare in both species, but slightly more common in dogs. Early identification is important for maximizing the likelihood of a positive outcome. Cancerous cells can spread from various other parts of the dog's body to finally affect the dog's lungs. Cancer is a terrifying reality for dog owners today, causing nearly half the deaths of dogs over the age of 10. In an effort to increase awareness of lung tumors in our fur babies, this week i dedicate some time to explain lung cancers in dogs and cats. Dogs with lung cancer may not show any clinical symptoms in the early stage of the disease. What is the life expectancy?
Dogs with lung cancer may not.
Surgery and chemotherapy are the primary methods of treatment. Cancer is the leading cause of death in dogs. Lung cancer in dogs typically arises secondary to other forms of cancer. Cancer in dogs in reaching epidemic levels. Lung tumors can affect our dogs and cats just like it can us! Now more than ever, it's critical to know the signs of cancer. Three of the dogs correctly identified the lung cancer samples 96.7 percent of the time, and the healthy samples 97.5 percent of the time. Dogs symptoms and canine health. Although there are particular symptoms for every type of cancer, there are a few general ones that can be easily noticed by a dog owner who pays attention to his or her dog's. Get detailed information about risk factors and lung cancer prevention in this summary for clinicians. Dog lung cancer causes, treatments. It's when a cancer that started somewhere else in the body has spread to the lung. And receiving a diagnosis of cancer can be especially heartbreaking.
Primary tumors with a high incidence of spreading to a dog's lungs include mammary carcinomas. Lung cancer prevention strategies include quitting or avoiding exposure to smoking, occupational carcinogens, and radon. General cancer symptoms in dogs. More commonly, we see cancer. Secondary cancers are more common.
Lung Cancer Archives Dr Phil Zeltzman S Blog from www.drphilzeltzman.com Dogs symptoms and canine health. Early identification is important for maximizing the likelihood of a positive outcome. Adenocarcinoma of the lung makes up about 75 percent of all primary lung tumors in dogs. Search dog lung cancer symptoms, causes, and treatments at petmd.com. Dogs with lung cancer may not show any clinical symptoms in the early stage of the disease. If your dog has been diagnosed with a cancerous tumor in her liver, it can mean one of two things. In that case, the cancer is made up of lung cells that have become cancerous. Lung cancer in dogs may be primary, originating in the lungs or it may come from a different area of the body such as the liver, and then the even though primary lung cancer is rare in dogs and typically, the tumor originates elsewhere, reaching the lungs only in later stages, primary lung cancer.
Dogs symptoms and canine health.
Cancer can begin in the lungs, which is primary lung cancer. Secondary lung cancer is also called lung metastases. Secondary lung cancer means that the lung cancer has spread into the lungs from elsewhere in the body. Lung tumors can affect our dogs and cats just like it can us! What is the life expectancy? The primary tumor can arise within the lung or outside the lung, with the metastases secondary lung tumor is a term that is also used for the malignancies that arise in the lungs as a consequence of therapy for cancer (eg. In that case, the cancer is made up of lung cells that have become cancerous. If your pet is sick, you're naturally worried and concerned. Lung tumors are relatively rare in dogs, accounting for only 1% of all cancers diagnosed. In an effort to increase awareness of lung tumors in our fur babies, this week i dedicate some time to explain lung cancers in dogs and cats. Primary lung cancer in dogs is relatively rare in dogs (under 1% of all cancer in dogs), but pulmonary adenocarcinoma is the most common type of canine pulmonary adenocarcinoma is cancer of the lungs, which can be primary (originates in the lungs) or secondary (originates somewhere else in. Pulmonary adenocarcinoma is just one form of cancer, but most cancerous tumors have the effect of weakening. Cancer is the leading cause of death in dogs.
Perguruan tinggi ini terletak di sekaran, gunungpati, daerah dataran tinggi di bagian selatan kota semarang Praktik, rumah bersalin swasta, klinik swasta dan rumah sakit dengan kelas perawatan kelas iii pada rumah sakit yang bekerja sama dalam program ini, dengan pembiayaannya dijamin oleh pemerintah. Meski begitu surat resmi gak harus selalu disusun oleh keluarga, bisa juga disusun oleh individu. Tiruan surat resmi yang dibuat oleh individu adalah surat permintaan kerja, atau surat pengunduran diri yang mana … Academia.edu is a platform for academics to share research papers. Pengedar Sah Shaklee Petaling Jaya & Rembau.: Aduh from lh3.googleusercontent.com Perguruan tinggi ini terletak di sekaran, gunungpati, daerah dataran tinggi di bagian selatan kota semarang Jaminan persalinan diselenggarakan sebagai upaya pencapaian mdg's dim...
Plastic I Card Making Machine / Plastic Pvc Card Printer Alphacard / Cards plus team of experts found nbs, datacard, evolis and fargo brands to be the most reliable solutions available. . Id card making machines, also called id card printers, are used to create many of the cards and credentials you use every day including gym cards, grocery store and retail cards, employee ids, student ids and more! Evolis primacy single sided id card printer machine & supplies bundle with card imaging software (pm1h0000rs) 4.6 out of 5 stars. Plastic card id offers new and used id card embossers and plastic card embossers. Shop top id card printers Globdzire electronic securities private limited. Pvc plastic sleeve card holder making machinemobile phone/ whatsapp: Buy a card printer machine today or save some money on our fantastic printer bundle offers which include everything you need to start printing cards. Plastic i card making machine, brand new a4 business plastic id card...
Tentang kota & potensi bisnis rumah dijual di. Kebanyakan rumah dijual murah di kupang dijual seluas 60 meter persegi dengan dua kamar tidur, satu kamar mandi. Rumah bisa menjadi tempat tinggal manusia maupun hewan, tetapi istilah untuk tempat tinggal yang khusus bagi hewan adalah sangkar, sarang, atau kandang. Luas lantai bangunan (floor area) oct 11, … Penyelundupan narkoba yang disimpan di dalam speaker aktif itu terkuak oleh petugas lapas. Hitung Biaya Bangun Rumah Per Meter Atau Borongan Terbaru Rumah Com from cdn-cms.pgimgs.com Penyelundupan narkoba yang disimpan di dalam speaker aktif itu terkuak oleh petugas lapas. Dikontrakkan rumah ada tokonya, alamat di perumahan chandra baru, pondok melati pondok gede luas tanah 120 m, kamar tidur 2, kamar mandi 1 chat untuk beli Hadirnya rumah dijual murah di kupang tersebut merupakan angi...
Komentar
Posting Komentar